猫淋巴结病的超声扫查技术
通过评估淋巴结的形状,边缘,大小,回声,质地及血流分布可帮助鉴别良性和恶性淋巴结病。
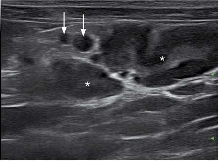
恶性病变的淋巴结通常是均质的低回声圆形的结构(图14)。但是如果淋巴结发生了出血,坏死或者钙化,则会变得回声不均匀(图15)。在犬的恶性肿瘤时会发现回声不均匀的淋巴结。与猫恶性肿瘤的相关性目前没有被证实。

淋巴结病与反应性淋巴结病,炎症和肿瘤有关(图16)。超声上不能完全区分正常淋巴结,反应性淋巴结,以及恶性转移性淋巴结,他们之间有相似之处(图17)。形态较大,回声混杂的淋巴结可能为良性或恶性肿瘤浸润的淋巴结,也可与脓性肉芽肿(图18)或肿瘤(图19)相关。应该细针抽吸淋巴结做细胞学诊断。

腹膜以及腹膜后肿块
有很多腹腔肿块不属于任何一个器官,例如包括脓肿,肉芽肿,血肿,脂肪瘤,间皮瘤。纤维肉瘤和血管肉瘤可成为肠系膜肿块。
脓肿类似肿块的结构,外壁呈高回声。内部回声较为复杂,可为无回声的液体混合细胞碎片以及气体(高回声的病灶伴混响伪影)。如果内部是液体,后方会有回声增强。如果内部有干酪样物质则会产生声影。
肉芽肿和脓性肉芽肿不是很常见。它们不属于腹腔内任何一个器官,是均一的高回声团块。猫FIP的肠系膜肉芽肿块可呈现多种形态(图20.视频1)。FIP的猫在肝脏上会有弥散性或局灶性高回声结节,肾脏上会有髓质缘征,肾周低回声带,腹膜和后腹膜问隙积液,腹部淋巴结呈低回声团块,脾脏低回声以及睾丸炎。

若腹腔有遗留的纱布块或霉菌病会演变成肉芽肿和脓性肉芽肿。而纱布块会产生声影(图21.视频2)。
一例真菌聚集型肉芽肿产生高回声病灶伴回声衰减,容易被误认为钙化灶。异物容易引发肉芽肿反应,例如草芒或小枝(图22)。

血肿的回声会随着时间的变化而变化。可为混合回声或低回声有包膜的腹腔团块。能波及到其他器官。可继发于急性创伤,凝血不良或膀胱穿刺,在腹腔内形成大的血肿团块,用超声较难发现出血点。
脂肪瘤和浸润性脂肪瘤可发生在腹腔的不同位置,包括网膜,肠系膜和腹膜后间隙。他们可为回声均一,回声混杂或低回声的内部有颗粒的团块。
结节性脂肪坏死在肥胖的猫较多见。它是边缘清晰的,高回声并发生有衰减的肿块(实质发生钙化),中心为低回声(图23.视频3)。
腹膜肿瘤在猫不常见。原发在肝脏,胰腺或小肠的肿瘤会通过腹膜转移成为转移性肿瘤,癌,肉瘤,淋巴瘤。腹水映衬肿瘤结节使医生更易发现他们。肿瘤的大小,形状以及回声都不尽相同,同时会伴有淋巴结病(图24)。
14只患有淋巴瘤的猫都伴有腹膜腔积液及结缔组织肿块。可在腹部脏器上发现有原发性或转移性肿瘤。体表淋巴结增大,腹膜腔积液,在腹膜脏层和腹膜壁层可出现肿块。
肠系膜肿物,可为纱布块或有其他异物。图25子弹嵌入肠系膜最后导致了血管肉瘤。
大血管异常
血栓会出现在主动脉或其分支或在后腔静脉里。猫最易发生动脉血栓(图26)。血栓在超声上的形态与它存在的时间有关。最初,无回声的血栓很难被发现。使用彩色多普勒,能量多普勒或频率多普勒可以发现管腔内的血栓(图27)。随着时间的推移,附壁血栓产生回声,在B模式上可见血管的充盈缺损。
发生髂内动脉远端血栓的患猫,通常是有心肌病伴有左心房扩张。肿瘤的侵袭,副肿瘤综合征,异物或原因不明也可引发血栓。
血栓通过左心室进入主动脉造成栓塞。当猫就诊时可能没有心血管方面的症状,只表现为后肢的麻痹。
猫门静脉血栓的病例相对罕见。可能会继发于门脉短路手术之后(见第四章),肝脏肿瘤,急性胆管炎,肝中心小叶坏死之后。
下一篇:暂无



