腹膜腔积液的超声扫查技术
腹膜腔内含有少量的液体可以减少器官之间的摩擦,但是如果含有大量液体的话就意味发生了疾病。超过每公斤体重2ml的液体就可以被超声发现,这是发生腹水的特异性症状。少于此量的腹水则不容易被超声发现。
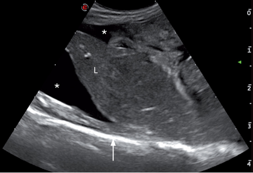
腹水在腹膜腔的分布位置取决于液体的量。所以最好使动物侧躺,在腹壁重力面上扫查,可以提高腹水的检出率。腹水通常是无回声,或低回声暗区。游离液体多见于膀胱基部的三角区,腹壁和脾脏之间,肝脏和胃之间,肝角与膈之间,肝叶与肝叶之间。
腹水有时会存留在双层腹膜结构之间,有时局限在器官和病灶的周围。猫严重的肾盂积液或输尿管积液都有可能被误认为是游离液体或是,所以需要非常细致的诊断。
另外一个影响发现游离液体的因素是机器的设置。有时候需要仔细扫查才能发现液体。细胞成分越少的液体回声越低,而改良性漏出液是产回声:的液体。渗出液是高回声,可与周围组织的回声相当,因为其液体含有的细胞成分多,或含有微小的气泡。

大量腹水的原因可能为右心衰,肝脏疾病,门静脉高压,低蛋白血症,后腔静脉阻塞,肿瘤或其他原因。
非肿瘤性血腹的原因可能为凝血功能不良,创伤,淀粉样变的肝脏破裂,异常血管的破裂。肿瘤性血腹的原因通常为血管肉瘤,肝细胞癌。而肝脏胆管上皮癌,脾脏淋巴瘤,脾脏组织细胞肉瘤,肾母细胞瘤,脾脏腺癌,淋巴瘤则相对少见。肿瘤性血腹和非肿瘤性血腹的发病几率基本相当。
还有一些非腹膜性的因素造成腹水,例如输尿管的破裂,蛋白较多的漏出液(FIP),胆汁性腹膜炎(胆囊破裂或胆管阻塞)和乳糜性腹水(肿瘤或门静脉阻塞)。
气腹
腹腔内的自由气体表现为高回声的亮线后方有混响伪影,它会降低其他器官的可见度。游离气体会位于体壁的非重力面,在肝角,肠袢,胃和网膜之间。使用腹部X线片诊断会比使用超声更加灵敏。
腹膜后间隙中的液体
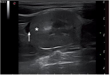
严重病变会造成腹膜后间隙积液。无回声或低回声的液体在高回声的脂肪之间被分隔成条带状。
可以利用改变动物的体位的方法区分液体是在腹膜腔还是在腹膜后间隙。如果液体在腹膜后间隙,不会因为动物体位的改变而发生位置变化。
腹膜后间隙积液可能是由于肾上腺,肾,输尿管,大血管和淋巴干的损伤造成的(图12.)。液体可能为血液,尿液,漏出液或改良性漏出液。需要穿刺才能确定液体的性质。

腹膜炎和脂肪组织炎
腹膜炎通常可见大量的中等回声或高回声的腹水。FIP的病例中,有时腹水是低回声的。腹膜,网膜,肠系膜的回声升高,他们密度升高阻碍了声波的穿透力同时造成了衰减。
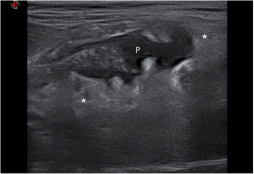
脂肪组织炎或肠系膜脂肪感染会呈现高回声。脂肪组织炎会出现在损伤的周围,例如胰腺炎,肠道损伤,手术伤口的周围(图13)。

另一个病理过程是全身性脂肪组织炎。它多发于以鱼类为食,摄入过多不包含脂肪酸的动物身上。一例全脂肪炎的公猫的网膜呈现高回声,上面散在分布很多低回声结节。



