腹腔淋巴结及大血管超声扫查技术
扫查腹腔淋巴结结大血管时使用左侧卧位,右侧卧位及仰卧位。剃毛区域从剑突,肋骨后缘直至耻骨前缘。两侧的剃毛区域要沿着肋弓直到腰椎水平面。
使用高频探头(7.5MHz或更高频)的微凸探头或线阵探头扫查淋巴结(LNs)及大血管。淋巴结是很小的结构,外周包裹脂肪。对于体型较大的猫,可以使用小微凸探头去扫查腹腔深部淋巴结,例如肝门淋巴结,胃淋巴结,以及腹腔深部大血管,如门静脉(PV),后腔静脉(CVC)。
正常腹腔淋巴结及大血管超声影像
从解剖学角度来看,腹膜是由间皮细胞构成,藉由结缔组织的支持所形成的一层膜状组织。腹膜壁层覆盖在腹腔,骨盆腔的内壁表面。腹膜脏层覆盖于腹腔、骨盆腔内的器官表面。肠系膜,网膜,韧带是存在于器官之间,将器官与腹膜壁层连接起来的双层腹膜结构。腹膜产生少量液体,可以减少器官之问的摩擦。这些液体在超声上不可见,存在于腹膜脏层和腹膜壁层之间的腹膜腔内。

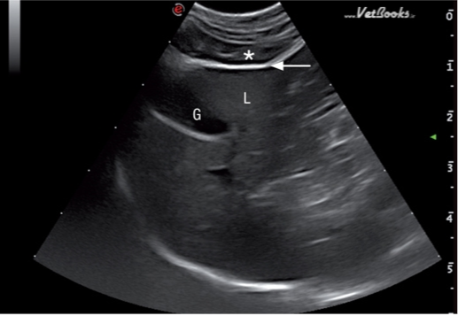
腹膜壁层在近场上呈现一条高回声亮线(图1)。器官表面的腹壁脏层又称为浆膜层,包裹在肠道外壁,胃的外壁,膀胱的外壁,脾脏和肝脏的外壁,也呈高回声的亮线(图2)。腹膜结缔组织连接腹腔各个器官,有3个双层腹膜结构,分布是网膜,肠系膜,韧带(图3)猫的镰状韧带位于肝的腹侧被脂肪组织所包裹,相较于肝脏实质的回声镰状韧带可呈无回声或低回声,偶尔呈高回声,它的质地更加粗糙些(图4)。肝脏包膜的高回声亮线是镰状韧带和肝脏实质的分界。而猫的分界线比较模糊,没有经验医生很难将镰状韧带和肝脏实质区分开。可能会将镰状韧带误认为是肝脏,在进行细针抽吸时吸出的不是肝脏组织而是脂肪。



关键点
猫容易发生应激,所以最好在安静的房间里扫查,动物越配合检查得到的结果越准确。但有些动物是需要镇静才能进行检查。
扫查猫的淋巴结是有难度的,因为淋巴结外包裹着脂肪,脂肪会造成声波的衰减,导致显影不清晰。肠道内的气体会干扰肠道淋巴结的扫查。
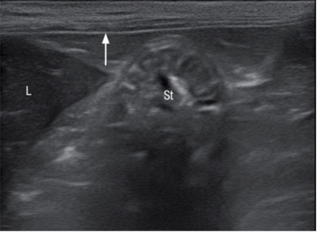
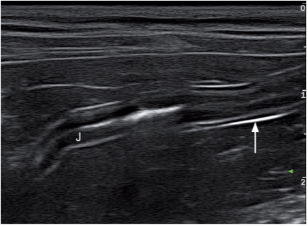
图5显示了猫腹部淋巴结的分布情况。淋巴结是根据脏层和壁层来划分的。四个壁层淋巴中心包括腰荐淋巴中心,髂骶淋巴中心,腹股沟淋巴中心,坐骨淋巴中心。三个脏层淋巴中心包括下腹淋巴中心,前肠系膜淋巴中心,后肠系膜淋巴中心。易见的脏层淋巴结有胃淋巴结,肝脏淋巴结,胰十二指肠淋巴结,空肠淋巴结,回盲淋巴结,结肠淋巴结(图6)。壁层淋巴结里易见的淋巴结包括有髂中淋巴结和腹股沟浅淋巴结(图7)脏层淋巴结中不易见的淋巴结包括有脾脏淋巴结和后肠系膜淋巴结(图8)。壁层淋巴结中不易见的淋巴结包括有腰动脉淋巴结,肾淋巴结,髂内淋巴结,骶骨淋巴结,尾部淋巴结,尾上腹淋巴结。浅表淋巴结例如腹股沟浅淋巴结和髂中淋巴结呈现细长的纺锤状。淋巴结的边缘规则,被膜产回声,它的实质相对于脂肪来讲是无回声的或是低回声的。腹部较深的淋巴结中只有空肠淋巴结,后肠系膜淋巴结是狭长的形状,其他的则为卵圆形。淋巴结的实质部分比脂肪组织的回声低,外周被脂肪组织包裹,清晰的边界。表1为腹部淋巴结的位置与大小。


腹部器官的血供是从主动脉的分支而来(下腹动脉,前肠系膜动脉,肾动脉,旋髂深动脉,髂外动脉,髂内动脉,骶中动脉)。腹腔的静脉血液有两个走向,一个走向是汇入后腔静脉,另一个走向是汇入门静脉。测量主动脉和CVC的血流速度时,需要使探头的切面与腰椎的长轴平行。腹主动脉从膈下行到第六腰椎的水平面,位置稍稍偏中线的左侧,是有高回声的管壁,内部是无回声的液体(图9a和9b),横截面上会更加清晰。二维扫查可以见到主动脉所有的分支。后腔静脉位于腹主动脉的右侧在超声形态上与腹主动脉相似。后腔静脉较腹主动脉而言,更容易被探头压扁(图9c)。门静脉位于肝门,它的分支有胃十二指肠静脉,脾静脉,前肠系膜静脉和后肠系膜静脉。门静脉位于腹中线偏右(图9d)。

腹腔,淋巴结和大血管病变超声影像
完整的超声检查不仅评估腹腔器官,还必须评估腹膜和腹膜后间隙,以及腹腔内包含的淋巴和血管结构。
进行腹部超声有许多适应症,并且该技术经常用于放射摄影术的补充。一般来说,影响腹腔器官的疾病也会对腹腔,淋巴结和大血管产生影响。重要的是要注意每种结构的任何变化,以便作出全面和明确的诊断,并要了解器官的某些变化,例如观察由于腹部体液形成的高回声圆周,即腹腔积液。



