母猫卵巢疾病超声扫查手法
绝育时没有完全切除卵巢所致的医源性卵巢组织残留(卵巢遗留),母猫比母犬的发生概率高。在卵巢切除术/子宫卵巢切除术(OVH)后的数月甚至数年内仍会有发情的现象。
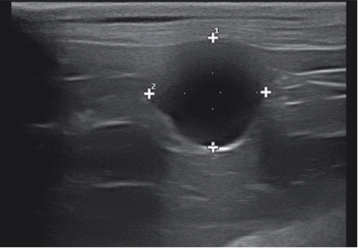
卵巢囊肿通常是超声检查时偶然发现的(非排卵性的卵泡囊肿),尤其发生在未生育的成年猫或老年母猫身上。卵泡囊肿是排卵失败所致,临床上需与卵巢旁囊肿、卵巢肿瘤等其他囊性病变进行鉴别。卵泡囊肿的超声影像表现为一个或多个直径约为1~5cm,界限清晰的无回声结构,囊壁高回声伴远场回声增强(图12)。该影像需与卵巢肿瘤进行鉴别,尤其是卵巢颗粒细胞瘤。只有组织病理学才能区分卵泡囊肿、卵巢旁囊肿以及卵巢肿瘤。

子宫积液指子宫内蓄积非炎性的浆液性液体。此病是猫不孕症的一个偶发因素。
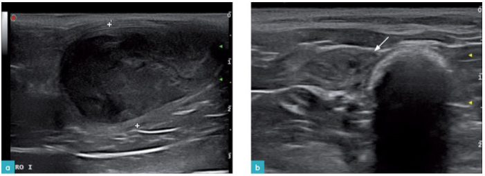
子宫内膜囊性增生和子宫蓄脓是激素介导性的,引发子宫内膜腺体囊性扩张,导致子宫腔内蓄积非炎性、无菌性以及粘性的液体,如有出现细菌污染,则会出现脓性及血性子宫内膜炎。子宫蓄脓通常继发于潜在的子宫内膜囊性增生,但并不是所有的子宫内膜囊性增生都会引起子宫蓄脓。虽然母猫子宫蓄脓较为常见,但却很少发生子宫内膜囊性增生。子宫蓄脓可发生在母猫交配但未受孕之后,1岁~10岁(平均7岁)均可发生。该病发病机理与犬相似,但通常病程会发展得更快(发情后1-4周),使用外源性孕激素也可引发此病。该病超声检查可见子宫扩张且充满液体。
子宫炎指子宫粘膜和肌层的炎症。子宫炎与子宫蓄脓不同,是一种发生于产后一周的母猫身上的急性病,而子宫内膜炎则通常为慢性且无明显症状的疾病。

猫子宫肿瘤少见,在猫总体肿瘤发病率中仅占0.29%。大多数为腺癌或平滑肌瘤,其中大部分起源于间质细胞。母猫发生子宫内膜息肉,子宫残端发展成为肿瘤的病例也见报道。在一例子宫残端发展成为鳞状上皮癌的报道中,作者认为残端的缝合线导致的慢性炎症可能是其中一个致癌因素。
子宫扭转是子宫或子宫角垂直于自身长轴发生旋转的情况。由于该病常发于妊娠母猫,因此认为妊娠是该病的一个诱因。子宫扭转的病因尚不明确,目前推测为多因素共同所致。妊娠母猫和非妊娠母猫均可发生此病。
母猫先天性生殖道异常较为罕见。报道可见母猫子宫角发育不全/增生/无生殖力等病例(单角子宫)。其中一侧子宫角缺失或过小,有时也会发现同侧肾脏缺失或过小。虽然子宫可能缺失,但双侧卵巢通常都正常存在,所以在做绝育手术时需要注意这一点。如果对侧卵巢和子宫角正常,则母猫可能受孕。
妊娠期疾病
最常见的情况就是胚胎重吸收(胚胎在妊娠期25天前死亡)以及流产妊娠35天后胎儿死亡)。胚胎重吸收可见胎囊变形并失去其原有的球形结构,变成界限不清晰的皱缩的结构,同时子宫腔内可见高回声物质蓄积。最后发生胎儿心跳消失,胎囊崩解。
胎儿死亡后心跳停止,肢体不再运动。超声影像上可能见到胎儿姿态异常,其周围液体回声增强,胎儿及子宫内可能出现气体影像。
宫外孕(EP)是指妊娠发生在子宫外的异常情况。通常该情况为偶然发现,目前已确认的宫外孕类型包括输卵管型(在动物中极其罕见)和腹腔型(原发或继发)。原发性腹腔内宫外孕是受精的卵母细胞无法正常到达子宫着床而移动至腹腔内发育的情况。继发性腹腔内宫外孕一般是由创伤所致子宫壁破裂而引发原本在子宫内发育的胚胎或胎儿转移至腹腔内的情况。猫原发性(多为轶事性报道)和继发性宫外孕的病例在临床上均可见。
下一篇:暂无



