肾脏超声波以及输尿管异常(紊乱)影像大小变化
超声波显示肾脏大小的变化可以识别病变,并帮助区分急性肾损伤(CKD,肾脏缩小)。在极端肾损伤的病例中,例如大多数肾病终末期,超声波很难区分肾髓质和皮质,甚至很难识别肾脏的形态。
人医上使用“皮质厚度”而不是“肾脏长度”,作为关键指标来区分 CKD(皮质增厚)和 AK!,因为已经报道表明厚度这个指标和肾小球滤过率有更强的相关性。
实质弥散性疾病
皮质回声增强
皮质回声增强是肾功能不全过程中最常见的发现,尽管其不是一种非特异性病变。引发出现该影像的另一个原因是急性肾损伤,同时通常还伴有肾肿大,腹膜后积液的情况 (图6和7.视频 3)。在老年猫中,输尿管梗阻提示存在急性肾损伤。急性肾损伤初步的影像是皮质回声增强,但是仍能看到皮质延髓区域的变化。随着疾病的进程,髓质回声提高,进而发展成为难以区分内部生理结构的状态。

在乙二醇中毒的情况下,在摄入乙二醇5-8小时后,皮质和髓质中会有草酸盐晶体的沉积从而产生皮质高回声,且随着病情的发展,皮质和髓质的交界处逐渐丧失。在晚期病例中,可以观察到皮质髓质交界处存在一个细小的低回声区,这是预后不良的预测指标。在明亮与声影交互的界面还可以观察到肾钙质沉积的临床表现,并且在肾皮质和髓质中的回声弥散性增加,或者在憩室和肾嵴出现线性钙化的现象,皮质髓质交界处并伴有高回声带(图8)。

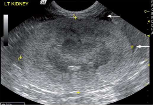
老年猫通常会患有慢性肾脏病(CKD)。患有慢性肾脏病的超声波变化是肾脏较小(<3.2厘米),并且肾脏轮廓不规则、皮质与髓质交界处不清晰,肾实质异质性、肾髓质局灶性或弥漫性过度再生、髓质环征、肾实质梗塞及或钙化(图9 -11.视频4和5)。但如果只有以上的其中一个病征是不足以诊断猫患有慢性肾脏疾病的。在疾病的最后阶段,肾脏会非常小、极不规则,并且其回声结构完全改变,其中可能包括高回声病灶,具有或不具有钙和磷酸盐沉积相对应的声影(图12)。偶尔,由于肾脏的异常结构,这些病患的肾脏只能从其位置识别出来,而不是通过它们显示的正常超声回波结构。有时会观察到所谓的“大肾,小肾”综合征,其病理表现为其中一个肾脏体积明显减小,另一个肾脏体积有所增加。进行肾活检的组织病理学研究是确定导致慢性肾脏疾病病变类型所必需的。重要的是要考虑到超声诊断与肾功能无关,并且这也不是预测猫发展为氮血症的好办法。

诊断患有慢性肾脏病的猫中已经确定了存在移行性细胞肾癌。在人类医学中,终末期肾病患者中恶性肿瘤的发病率较高。
发育不良的肾脏具有形态较小,皮质与髓质分辨不清,并且是高回声的倾向;它们也可能会出现囊肿和输尿管积水的症状。
湿型和干型的猫传染性腹膜炎(FIP)也可以产生回声的变化。在湿型猫传染性腹膜炎中可以观察到囊下液体的存在;而干型猫传染性腹膜炎则随着化脓性肉芽肿炎症的发展最终导致肾结石,并伴有不规则轮廓及髓质环征回声增加(图13)。偶尔可以观察到低回声的囊下边缘。在隐球菌感染的情况下也可能会遇到类似的超声波变化。

在阿比西尼亚猫中,对肾髓质间质中伴有氨基酸淀粉样蛋白沉积的家族性淀粉样变性已有所描述。这种情况会导致肾脏纤维化、坏死及慢性肾脏病。肾脏大小因患病时间的长短而有所不同。肾脏通常较小并且髓质回声增强。据报道在暹罗猫和东方猫中已经出现过肾脏的全身性淀粉样变性。
在诸如淋巴瘤和转移性鳞状细胞癌等肿瘤中,可以看到回声增强及皮质神经元分化明显(图14和15)。尽管偶尔会有肾脏减小的现象,但通常观察到的是肾脏肿大。据报道在淋巴瘤病例中,皮质周围会有低回声晕。这种晕圈可以与肾周围积液区别开来,因为其只在皮质周围才能看见,而在其余的腹膜后间隙则观察不到。



