脾脏疾病超声影像
脾脏会受到全身或局部疾病的影响。当脾脏发生浸润时,会使脾脏的大小、形状或轮廓发生改变。脾脏的疾病可能会导致脾内部结构发生点状或弥散性改变,或仅表现为单纯的脾脏增大。猫脾脏疾病通常是表现为广泛性的脾脏肿大,而不是脾脏发生肿块。
脾脏肿大
犬脾脏的正弦性,储血能力比猫强,所以它的形状更具有变形的潜力。而猫脾脏具有非正弦性,所以由生理性因素导致脾脏肿大的情况相对较少。因此,猫的脾脏肿大比犬更具有疾病的临床意义。
导致猫脾肿大的原因有:髓外造血,慢性贫血,免疫介导性溶血性贫血感染(猫白血病病毒,猫传染性腹膜炎、分支杆菌病,细菌性脾炎,利什曼病等),真菌疾病,如组织胞浆菌病、结节性增生,肿瘤浸润(肥大细胞肿瘤、淋巴瘤、浆细胞瘤),肢端肥大症,嗜酸性粒细胞增多症,血肿,红白血病,骨髓发育不良症候群,骨髓增殖性疾病和血管损伤。有报道称,肝脏疾病引发的静脉淤血会造成脾脏的肿大(图9-15.视频3-7)。

脾脏肿瘤
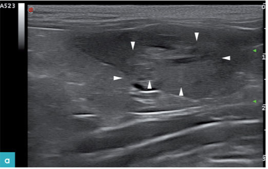
最常见的猫脾脏肿瘤是肥大细胞瘤和淋巴瘤。在一项研究中称,淋巴瘤病例中最常发现的异常就是脾脏肿大。发生肿瘤的脾脏实质有多种回声表现,例如弥散性的低回声点状区域多处小型低回声暗区或独立的低回声团块。在有些病例中,仅发现脾脏实质回声降低但并没有发生脾脏肿大或是仅见独立的脾脏肿块(图9.图3)。同时伴发的症状包括有腹膜腔积液,腹腔淋巴结增大及肝脏病变。
对27只患有脾脏肥大细胞瘤的猫进行研究,观察这些猫的脾脏影像,发现与患有淋巴瘤的病变影像相似。在这些病例中,93%的猫都有不同程度的脾脏肿大,其中有6只猫唯一的异常表现就是脾脏肿大。在2只缺乏典型症状的猫的检查中仅发现有脾脏增大,且有多处高回声的结节。其中1只猫的脾脏呈广泛性高回声,同时伴有脾脏肿大。在其中7只猫的脾脏上发现有单独的结节或肿块(图10.图4)。30%的猫同时伴有肝脏的变化。33%的猫有腹膜腔积液。
患有内脏型肥大细胞瘤的猫,它的副肿瘤综合征表现为胸膜腔和腹膜腔的渗出液中含有嗜酸性粒细胞,同时外周血中也含有较多的嗜酸性粒细胞。然而,这项研究没有发现能够区分肥大细胞瘤和淋巴瘤的超声特征。但是通过这项研究发现,患有淋巴瘤的猫发生腹腔积液的概率比肥大细胞的患猫高(47%比33%),发生肠系膜或腹膜后淋巴结病变概率也比肥大细胞的患猫高(37%比3%)。肥大细胞瘤的患猫脾脏的轮廓则更为不规则,并且高回声病灶仅见于肥大细胞瘤的患猫。这表明小型的高回声结节或弥漫性高回声结节虽是比较少见,但如果发生,可以作为猫脾脏肥大细胞瘤的特异性影像。

内脏血管肉瘤在猫中并不常见,并且通常为多灶性,其中约23%的病例可见脾脏实质内有多处局灶性病灶。病灶表现为低回声或混合回声,或无回声,并伴有腹腔积液(图11)。

恶性肿瘤转移到脾脏上表现为边缘规则,直径1-2cm的低回声结节性结节。
靶征(中心为高回声或等回声,边缘为低回声)通常与恶性过程有关,例如肿瘤转移。但可见于良性病灶,例如良性增生。
在41%的猫髓外造血病例中,伴有或不伴有淋巴样增生,脾脏肿大且回声正常(图12和13)。一部分病例可见,脾脏上有直径0.7-3cm不等的低回声结节或团块。另一些病例可见实质呈低回声,外观呈斑纹状。

血肿
血肿可能呈现局灶性或多灶性病灶,有多种回声影像(从无回声到低回声或混合回声)。在有些病例中血肿会使脾脏被膜变形,位于被膜之下(图14.视频5)。

真菌感染
组织胞浆菌病是猫的第二大常见的真菌疾病。是猫脾脏肿大鉴别诊断的疾病之一,脾脏实质呈现均匀低回声,有结节样或斑驳的外观。
感染
脾炎在猫中非常少见(约占脾脏疾病总数的2 %)。可分为化脓性、肉芽肿性、脓肉芽肿性、坏死性、嗜酸性、淋巴浆细胞性脾炎。曾有过一只公猫因异物继发脾炎的报道。
血管疾病
脾脏血管性疾病在猫中非常少见。在文献中几乎没有关于猫脾梗死或脾脏扭转发生的报道。然而,在猫的脾静脉中可见门静脉血栓(PVT)。在对6只患有PTV的猫调查中,发现所有的猫都患有肝病。这表明肝胆病是导致门静脉血栓形成的危险因素。
脾异位和副脾
猫会发生脾异位,通常是在外科手术或腹腔镜时意外发现。大多数病例无症状,称为脾异位或副脾。脾异位可能是由于脾切除手术或外伤造成的脾脏破裂后:造成脾脏组织的自体移位。脾脏组织的自体移植常常会在腹腔浆膜表面广泛分布。副脾是从正常的脾脏分离出来的部分脾组织,通常在子宫内发育时就开始分离了。
副脾是先天性形成的,沿着脾胰韧带,脾胃韧带及脾肾韧带分布。副脾接受从脾动脉分支供应的血液,并且有脾门。在其他脏器内发现脾组织是很罕见的。有报道称,在猫的胰腺里发现了脾组织,比较容易与胰腺肿瘤相混淆。
其他
很难仅通过超声影像去区分正常的,良性病变,恶性病变的脾脏。超声影像表现正常的脾也可能已经发生了病变。脾脏肿大或其他脾脏的异常超声表现是有临床意义的。总之,脾脏疾病的确诊需要细胞学及组织病理学分析。脾脏的细针抽吸不会对脾脏造成伤害。
某些临床操作,例如镇静和麻醉,会使脾脏的大小及超声表现发生改变。一项研究评估了使用七氟烷和献血之后,脾脏的形态改变。全身麻醉后的脾脏比正常脾脏的高度明显增加,献血之后脾脏高度明显降低。但从临床角度来看,这样的差别可能没有很大的临床意义。
下一篇:暂无



