脾脏超声的扫查技术
扫查脾脏通常采用仰卧位或右侧卧位。脾脏所处的位置非常浅表,建议使用高频探头扫查,正如扫描其他的腹腔脏器一样,需要将腹部上的毛发剔除,将腹壁上的毛发剔除,涂抹超声耦合剂,从脾脏的矢状面和横截面上全面地观察脾脏。
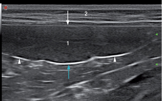
脾脏位于左侧上腹部,靠近胃底部、左肾头极与左侧腹壁(图1)。脾脏有两个表面:体壁面与脏器面。体壁面朝向左侧腹壁,表面凸起。脏器面(又称肠系膜面)朝向内侧,脾门在长轴上将脾脏分成两个部分(图2)。

猫的脾脏呈舌状,脾尾比脾体和脾头宽。脾脏的横截面呈三角形,显示脾脏尾部比脾脏的头部和中部都要宽,猫脾脏的相对体积较犬的小,且位置更为固定。大网膜上的胃脾韧带把脾头固定在胃底。猫的脾体和脾尾的游离性稍微大一些,但仍然不如犬脾脏的游离性大。

脾脏含有被膜、小梁和实质组织(红髓和白髓组成)。脾脏的血管包括动脉和脾静脉,脾动脉起源于腹主动脉,脾静脉汇入到门静脉。脾动脉和脾静脉在脾门处进入脾脏,脾门位于脾脏的脏器面中间(图3.视频2)。脾门淋巴结引流脾脏的淋巴液,然后通过淋巴管注入腹腔干,最后汇入乳糜池。

脾脏是单核吞噬细胞系统重要的组成部分,直接与体循环和门静脉连接。脾脏是具有多种功能的器官。脾脏的功能包括,储血,过滤,吞噬作用,髓外造血,同时也参与铁元素的代谢和免疫应答。由于猫脾脏的非正弦性,所以猫的脾脏不可能储存大量的血液。
正常脾脏超声影像
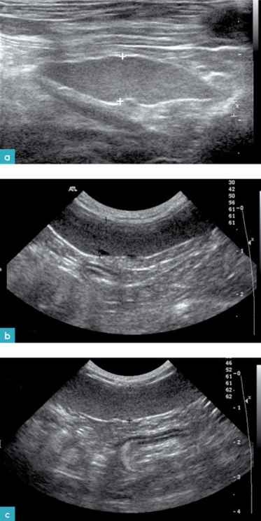
健康动物的脾脏边界清晰,被膜薄而光滑(图2和图3)。脾脏的脏器面的轮廓不规则,是因为在脾门的地方有血管进出。横断面上的脾脏呈三角形(图4)。二维超声图像上很难看到脾动脉进入脾脏,需要使用彩色多普勒才能识别脾动脉(图3)。

脾脏呈致密、均匀、细腻的颗粒状质地。脾脏的质地比肝脏细腻。脾脏的回声应与左肾皮质的中间部分做比较。因为超声波声束垂直于肾脏表面时,肾脏两极的声波会发生衰减,所以不应与肾脏的两极的回声做比较。有报道称脾脏的实质回声比肝、肾的回声强。然而,有些的研究表明,正常猫的肾皮质回声比脾脏的回声强,因为在猫肾脏皮质中的肾小管沉积了较多的脂肪(图5)。
在脾脏的脏器面,血管周围的脾脏实质内偶尔会发现高回声结节。这些结节与脂肪蓄积相关,被称为脂肪瘤或髓脂瘤(图6)。

最近一项研究提出了判断健康猫脾脏大小和外观评估的新方法(Sayreand Spaulding,2014)。该方法选取脾脏的三个部分进行测量:脾头(近端三分之一)、脾体(中间三分之一部分)和脾尾(远端三分之一部分)。在每个部分测量脾脏的高线(从脏器面到体壁面的垂直距离)。
分别测量脾头和脾尾横截面上的厚度。此时脾脏呈三角形,在脏器面上可见脾脏静脉。把光标放在脏器面上静脉的旁边(但是不要放在血管内),垂直引一条线到达体壁面进行测量,得到脾脏的厚度。要在脾脏的内外侧顶点到达脾门的距离相等的图像上测量脾脏的厚度,避免在斜切面上测量。
在脾脏的长轴(矢状面)上测量牌体的厚度。从脏器面上的血管旁垂直测量到体壁面,得到脾体的厚度(图7)。

脾脏三个不同部位厚度的正常参考值。表1.

在这项研究中,脾脏与肝脏、左肾皮质的回声强弱顺序不是固定的。但通常是脾脏的回声高于肝脏回声,低于肾皮质回声。
最可靠的测量位置是测量脾头,在检测猫脾脏的时候,推荐的方案是:在前三分之一的脾脏横切面上,从脏器面的血管旁测量到体壁面的距离,(正常值为5.4mm9.1mm。如果超过9.1mm),则表示脾肿大,需要结合其他器官的超声表现对病患做全面的评估。也可以通过细针穿刺或活检脾脏,做进一步诊断。其他作者有报道显示:有些猫脾脏肿大的原因是脾脏自身的折转(图 8)。




