胰腺囊性病变的超声扫查
超声不能区分囊性病变的类型,需要组织病理学诊断。
假性囊肿是胰腺炎的后遗症之一。假性囊肿是圆形的病灶,在纤维性包囊内充满含有胰酶和细胞碎屑的液体。多见于胰腺左叶。假性囊肿的囊壁较厚,内容物呈无回声或低回声并伴有后方回声增强。
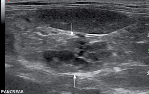
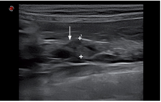
先天性胰腺囊肿的大小差异很大,通常与多囊肾及多囊肝有关。囊肿的壁由一层单层上皮细胞构成。潴留性胰腺囊肿是由胰管阻塞或分泌物蓄积产生的。潴留性胰腺囊肿一般很小,也没有临床症状。两种类型的囊肿的内容物都是无回声的,囊壁很薄或不可见,并伴有后方回声增强(图. 15)。
脓肿
相对犬来讲,猫较少发生胰腺脓肿。胰腺脓肿表现为空泡性病变,内容物呈低回声。有时很难通过超声区分脓肿和囊肿。如果脓肿的回声很高可能会被误认为肿瘤。曾有报道发现一例同时发生糖尿病和胰腺脓肿的病例。

胰腺水肿
胰腺水肿表现为胰腺增厚,实质内有多条低回声或无回声条带。胰腺水肿可能与胰腺炎有关,也可能与低白蛋白血症,门静脉高压及全身性血管炎有关。
肿瘤

外分泌胰腺肿瘤在猫并不常见。超声诊断胰腺肿瘤的平均灵敏度为(50%),平均特异性只有(17%)。
胰腺腺癌是最常见的胰腺肿瘤,也曾有文献报道过胰腺肉瘤。其他类型胰腺肿瘤包括腺瘤,鳞状上皮细胞癌,淋巴瘤,淋巴肉瘤,恶性肉瘤。肿瘤的典型超声表现为低回声团块或结节,较少情况下,会发现混合回声及钙化中心(图.16)。在胰腺腺瘤和胰腺腺癌的病例中,胰腺整体增厚,边缘不规则同时在实质内有多量低回声结节。
一例患有胰腺腺癌的猫仅发现存在胰管扩张,另一个患有淋巴肉瘤的猫胰腺超声表现正常。腺癌经常会转移到肝脏。胰腺淋巴瘤会广泛性地浸润胰腺实质(图17.视频4)。

猫的内分泌肿瘤比较少见,包括胰岛素瘤,胰高血糖素瘤和胃分泌素瘤。胰岛素瘤的超声表现为实质内有圆形的高回声结节,结节的中心可能有无回声暗区。结节内没有血流信号,如果出现血流信号,则是胰腺十二指肠静脉异位。
结节增生

经常会在老年猫的胰腺上偶然发现结节性增生。胰腺结节性增生的超声影像表现为多个直径小于1cm的,等回声或低回声,边界清晰的小结节(图18-20)。胰腺结节性增生可能与胰腺增厚具有关。胰腺结节性增生与胰腺肿瘤的形态有些相似,但结节性增生更倾向于呈现为多个较小的结节。结节性增生也容易与囊性病灶相混淆,但它们没有后方回声增强。



