宠物胰腺的超声扫查技术
扫查胰腺需要剃掉前腹部的毛。采用仰卧位结合左右侧位,可以完整扫查到胰腺的左支,右支和体部。胃肠道内的气体常会对胰腺扫查造成干扰。虽然猫的胃肠道气体量少于犬,干扰没有那么严重,但是仍然建议禁食12小时,以减少气体和食物对胰腺扫查造成的干扰。
胰腺为浅表器官,所以扫查胰腺最好使用高频线阵探头(10MHz或更高)。但是在某些情况下,特别是在扫查体型较大或较肥胖的动物时,需使用微凸探头才能探查到胰腺体区及左右支未端。



正常胰腺超声影像
胰腺分为三个部分:胰腺体部,胰腺右支和胰腺左支。胰腺厚度约为0.5-1cm,胰腺体部和左支比右支厚,因此会比右支更容易探查到。表1是不同文献对于胰腺厚度和胰管宽度的测量(见下)。
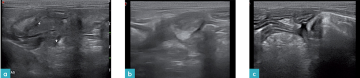
胰腺右叶位于十二指肠的肠系膜内,在降十二指肠的背内侧,右肾的腹侧,门静脉的腹外侧(图1-3.视频1)。
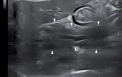
胰腺体部位于幽门和十二指肠的夹角内,更靠近体中线,位于右肾的前内侧以及门静脉的腹侧(图4.视频2)。猫胰腺体部与左右支之间形成的夹角比犬的小。胰腺左支起始于胰腺体部,起始部位于幽门卖的背侧尾侧。胰腺左支朝着体中线行走,位于胃的尾侧,横结肠的头侧(图5),最后到达左侧腹部,位于左肾的头侧。胃,脾和左肾头极构成的解剖位置三角区用于定位胰腺左支。胰腺左叶末端弯曲,呈钩状,延伸至脾脏。脾静脉和胰腺走向左叶平行。

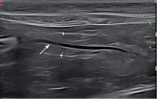
胰腺右支可见的管状结构是胰十二指肠静脉。胰腺左支的管状结构是胰管(图6)。如果不确定,是胰管还是十二指肠静脉,可以使用彩色多普勒去做区分。胰十二指肠有血流信号,而胰管没有血流信号。

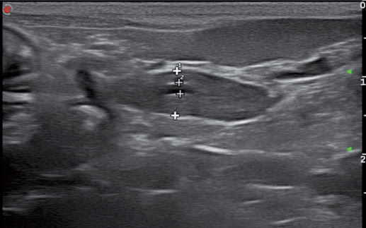
胰管作为胰腺分泌功能的总导管,与总胆管共同汇入十二指肠大乳头。十二指肠大乳头在十二指肠壁上呈一高回声小结节,宽度在2.9-5.5mm(图7)。
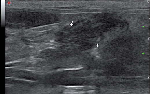
20%的猫会有副胰管直接汇入十二指肠小乳头。胰管位于胰腺实质的中央,宽度为0.5-2.5mm,管壁呈高回声,管腔呈低回声。有研究表明胰管的宽度会随着年龄的增长而增加(图8.表1)。


胰腺病变超声影像
胰腺炎
使用超声去诊断猫胰腺炎的差异很大。据一些作者的经验,敏感性较低(11%-35%)。据另一些作者的经验,灵敏度高(78%)。而另一些作者的研究表示,特异性低(22%)。造成灵敏度有如此巨大差异有两方面原因,一方面是猫比狗更容易发生慢性胰腺炎,慢性胰腺炎的超声变化是很细微的,难以发现。另一方面是,使用超声去准确诊断胰腺炎需要在很大程度上依赖于操作者的经验以及机器的清晰度。
研究发现胰腺炎与炎性肠病,胆管炎和脂肪肝之间有一定的相关性;这些器官可能会同时发生病变。特征性的炎症就是三体炎,是指胰腺,肠道,肝脏同时发炎,肠道和肝脏会同时发炎,据报道诊断为胰腺炎的猫50%-56%会有这样的情况出现。
在病理学上将急性胰腺炎划分为急性坏死性胰腺炎和急性化脓性胰炎。急性化脓性胰腺炎是发生了炎症而不是坏死。慢性胰腺炎的表现是无性炎症和非坏死性的纤维化。然而,急性坏死性胰炎和急性化脓性胰腺炎在病理学上都发生了一些相同变化,二者被认为是胰腺炎发展的不同阶段。
猫发生急性胰腺炎的超声表现与犬类似。胰腺呈低回声或是混合回声,胰腺体积广泛性增大,胰腺周围脂肪回声增强(脂肪的皂化反应),存在游离液体(图9和10)。然而,发生急性胰腺炎的猫并不都发生这些超声表现。
一些研究表明fPLI(猫胰腺特异性脂肪酶)的诊断结果与胰腺的超声学改变有着较好的相关性。诊断胰腺炎需要综合评估,超声影像左侧胰腺炎实质增厚,边缘不规则,周围脂肪低回声,存在临床症状,fPLI升高,可以判定为发生了胰腺炎。

在急性出血性或坏死性胰腺炎中,不规则的低回声区表示胰腺及胰腺周围组织发生了出血或者坏死,胰腺的边界不清。随着时间的发展,这些损伤区域会发展为脓肿或假性囊肿,但是犬很少发生脓肿。假性囊肿是圆形的病灶,在纤维性包囊内充满含有胰酶和细胞碎屑的液体。假性囊肿的囊腔内呈无回声或低回声影像,有时伴有远场回声增强。有报道称,猫的胰腺炎会发生真性囊肿,胰腺发生萎缩继发了糖尿病。
猫慢性胰腺炎的发病率比急性胰腺炎高。慢性胰腺炎的组织病理学是以纤维化和无菌性炎症为特征的。胰腺的超声改变很细微或是几乎无改变(图11)。胰腺可能边界清晰呈低回声,在纤维化的区域呈高回声(图12)。偶尔也会发现胰腺边界不规则,实质内有钙化灶。然而,研究表明超声不能区分慢性非化脓性胰腺炎和急性坏死性胰腺炎。

另一些研究表明,30%的糖尿病猫即使没有明显的临床表现,但超声影像提示有胰腺炎(胰腺呈低回声或高回声,高回声的肠系膜,游离液体,边缘不规则,胰管扩张>2.5mm)。因此可以推断很多糖尿病患猫处于胰腺炎的亚临床状态。胰岛素抵抗和胰腺炎之间的关系更加证明了糖尿病和胰腺炎之间的相关性;胰腺炎会破坏胰岛β细胞引起胰岛素抵抗,这就会激发肥胖的猫和具有糖尿病遗传基因的猫发生糖尿病。同样的,糖尿病引起的高血糖和高血脂启动了炎症反应,并结合其他因素共同导致了胰腺炎。这两种疾病可能会同时存在,所以需要做出正确的诊断同时进行有效的治疗。
研究表明,患有肢端肥大症的猫,胰腺左支厚度增加,实质回声广泛性降低,在实质上有结节或囊肿。
从高处坠落的猫可能会发生胰腺损伤甚至破裂。在这样的案例中,胰腺的影像与发生胰腺炎时的表现相似,包括胰腺呈现低回声,高回声或回声不均,胰腺周围脂肪回声升高,出现游离液体(图 13.视频 3)。
急性胰腺炎,慢性胰腺炎及无任何胰腺炎症状的老年猫都可见胰管扩张,所以超声影像发现胰管扩张不能作为诊断胰腺炎的指征(图14)。胰管扩张也可见于结石性疾病。此外,胰腺炎造成的总胆管扩张,最后可能会导致胆囊扩张。



