肌肉纤维化和肌肉萎缩的超声扫查技术
随着疾病的发展,肌肉纤维化逐渐严重,可造成正常肌肉的超声影像完全消失,肌肉的回声变得混杂不均。因失去运动神经支配而造成的肌肉萎缩,其肌肉的回声增强,质地发生轻微的改变。
脓肿
脓肿为圆形或不规则形状的局限性结构,其内容物可为无回声暗区,也可呈现为高回声亮点悬浮在无回声暗区中。用探头按压脓肿可观察到其中液体流动(图11.视频1)。根据脓肿形成时间的长短,包膜呈高回声且有不同程度的增厚。如果脓肿内包含有长度大于2-3mm的异物,则可以观察到高回声伴声影的异常结构。

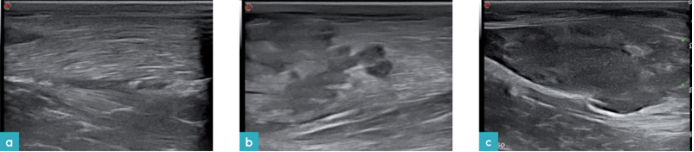
肿瘤
肌肉肿瘤可为固体,囊状,或为两种形式混合的结构。肿瘤的回声常是混合形式的,从无回声到高回声均有可能,均质或非均质的质地(图12)。可见或不可见肿瘤的边界。若想将机化的血肿,脓肿和肿瘤区分,就需要进行细针抽吸或活检检查。

肌腱和韧带
完全断裂的肌腱表现为原本平行的纤维结构完全缺失。在肌腱断裂处的两断端之间见无回声或低回声的血肿,有时还可见腱鞘渗出液。如果肌腱为不完全断裂,组织则表现为水肿,呈低回声,轻度或中度质地不均的影像。不完全断裂肌腱的横截面呈无回声的圆形结构。
肱二头肌腱鞘炎是犬的常见疾病,但在猫并不常见,仅有一例关节窝发育不良公猫的相关病例报道。肱二头肌腱鞘炎表现为肱二头肌肌腱回声正常,腱鞘壁增厚肿胀,伴有无回声液体渗出,液体中漂浮有线性回声物。肱二头肌沟表面形状不规则。
超声评估韧带损伤的难度较大,因为不一定能看到撕裂点。有时能在创伤局部发现无回声血肿。如果为撕脱伤,在反应性组织之间可能见到高回声伴后方声影的骨骼碎片。
骨骼
虽然X光片是评估骨骼损伤的主要手段,但超声诊断有时也能提供些额外的信息。
骨赘为可见的粗糙不规则高回声结构。超声也可诊断骨折,但是由于没有方向指示,很难确定骨折线的具体位置。超声可对骨折周围软组织病灶进行评估,例如肌肉撕裂或出血。骨痂在影像上表现为一个表面不规则的,高回声伴随后方声影的骨样物质。超声可用作评估骨痂的形成,如单纯性骨折,未愈合的骨折,延迟愈合的骨折的骨痂形成情况。能量多普勒可用于评估骨痂形成时的新生血管的生成情况。
骨髓炎或骨折内固定后,超声影像上可见粗糙的骨骼表面,及周围低回声质地不均的软组织。如果有骨皮质的溶解的情况,则可见不规则的骨骼表面以及多处凹陷所形成的栅栏样外观。只有在长段骨皮质缺损的情况下才可见骨松质。
超声诊断可辅助评估骨肿瘤浸润软组织的程度。肿瘤的回声表现各不相同,回声可能为无回声或高回声,质地也可能为均质或非均质的。肿瘤细胞增生或骨溶解常导致骨骼表面轮廓不规则,有时也可见到骨膜剥离(科德曼三角)。如果骨皮质发生破坏,则可见骨骼深处的结构。



