骨骼的超声扫查技术
因为骨骼会吸收超声声束,所以在超声图像上骨骼表现为光滑的高回声表面伴随明显的后方声影(图4)。肌腱和韧带的起止点表现为不连续的或不规则的高回声表面。

关节
软骨下骨超声影像为高回声表面伴后方声影,不同骨骼的软骨下骨的超声表现均为不同。紧贴骨质表面的透明软骨为无回声暗区。滑膜为低回声带,与骨骼相接的部位呈高回声的点状区域。滑膜囊为高回声的线状物,在与肌肉的连接点处,二者的回声融合在一起(图5)。

浅表软组织
浅表软组织的影像表现根据所处位置的功能,动物的体况及水合状态不同而有所变化。皮肤分为表皮,真皮、皮下组织(图6)。皮下组织由脂肪和结缔组织构成,其回声特点为混合回声内含有高回声亮线。脂肪与腹壁,胸壁,骨骼肌相连。扫查软组织时,还可观察到其他周边结构,如骨骼,肌肉,腺体,淋巴结,血管以及神经。

下颌腺相关介绍参见第1章。
非泌乳期乳腺组织的超声影像为质地均一的低回声组织,厚度约为2mm。处于妊娠期的乳腺影像,其回声增强且颗粒感明显,泌乳期的乳腺回声最高(图7)。妊娠后期乳腺可增至6-9mm厚。泌乳期的乳腺厚度与幼猫吮吸刺激的程度有关,刺激越强厚度越大,最厚可达11mm。只有在妊娠末期以及泌乳期才可观察到乳腺中的导管。

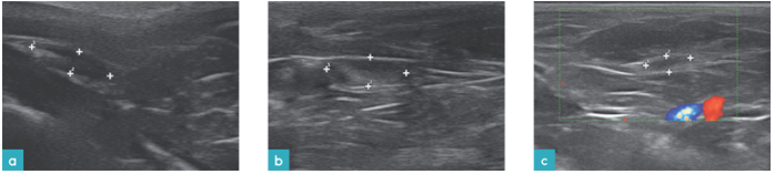
由于正常浅表淋巴结的回声强度与脂肪的回声相近,所以在正常至偏胖体型的猫身上,较难辨认出浅表淋巴结。淋巴结回声强度略高于脂肪回声强度,或与其相当(图8)。部分淋巴结,尤其是在腘淋巴结和颈浅淋巴结上,淋巴门处回声偏高,在影像上看起来像是淋巴组织包裹着脂肪。该特征有助于区分出淋巴结,外周还可见高回声的淋巴结被膜。

目前没有所有淋巴结的正常测量参考值。参考解剖数据背侧颈浅淋巴结长度约为3.2cm,腹侧颈浅淋巴结的长度约为0.08-1.46cm;腋淋巴结和腋副淋巴结的长度约为1.95cm;腘淋巴结的长度小于1.2cm,腹股沟浅淋巴结长度约为1.95cm。一份超声研究报告中指出,健康猫的腘淋巴结短轴长度约为0.28-0.65cm,而长轴长度约为0.43-1.20cm。
血管的超声影像为管状结构,由高回声外壁和无回声的内腔组成。浅表血管,尤其是静脉,易被探头所施的外力压塌。因此建议扫查这类血管时轻压即可。彩色多普勒或脉冲多普勒可用于区分浅表血管与其他结构。

神经的超声影像表现为低回声管状结构。神经的矢状面上可见两条高回声亮线,横截面则呈现为高回声亮线包围低回声组织形成的椭圆形或圆形结构(图10)。

肌肉骨骼以及软组织改变超声影像
肌肉创伤
肌肉完全撕裂在超声影像上表现为肌肉条纹结构缺失。如果发生急性出血,肌肉呈低回声影像。而当肌肉撕裂为慢性经过时,组织间已经有机化的血肿,所以影像表现为混合回声。受损肌肉的边界增厚,回声增强。局部肌肉撕裂,在影像上可见局部肌肉的正常结构缺失,需要与周围正常肌肉组织进行对比。
下一篇:暂无



