猫妊娠期的超声扫查技术
猫妊娠期可在50~74天的范围内变动,但一般介于63~67天。
在一近期的研究中,使用高频探头对妊娠11天的母猫进行检查发现,子宫内已可见胎囊的影像,其表现为一直径1.2(士0.1)mm的无回声腔状结构。胎囊的形态随着发育过程不断变化,妊娠第15天时胎囊的平均直径约为5.3(±0.6)mm (图7.视频1)。

妊娠期第16天超声影像上可见胚胎,是在子宫腔的胎囊内的高回声结构。妊娠期的第16~18天可识别胎儿心脏、第16~20天可探知胎儿心率,第20天的心率为227土3次/每分钟(bpm)。此后胎儿心率逐渐下降,至妊娠期第40天时心率平均值变为2241次/每分钟,第60天心率降至223±7bpm。脐动脉和胎儿主动脉在妊娠20天是可见,颈总动脉和肾动脉分别在妊娠的第30天和第40天可见。
妊娠期第19天可识别胎儿头部,但一般在第20天时更为明显。此时可以看到胎儿四肢。从妊娠期第20天开始可见神经管和肝脏的影像,肝脏表现为高回声结构,位于心脏的尾侧。
在妊娠期第22天可见胚胎呈“8"字形,头和身体的长度基本相等。头部充满液体,在超声影像上表现为无回声暗区。
妊娠第24天时更容易辨别四肢,此时胎儿的前肢发育较后肢早。妊娠第26天时可观察到胎儿胃(视频2)。
随着大脑左右半球的发育,在妊娠期第27-28天左右可见头部内容物表现为具有对称性、回声略高的影像,无回声部分减少。同一时期,胎儿心脏、肝脏、胃已清晰可见,胎儿的整体形态也与出生时相近(图8)。

妊娠期第17天即可估计产仔数量,但考虑到胚胎可能发生重吸收,所以应在妊娠后期再次核对数量。
关于使用脉冲多普勒超声对整个妊娠期中子宫动脉和脐动脉阻力指数的变化的报道已有数篇,但不同报道的结果之间具有一定的矛盾性。总体来讲,阻力指数的变化一般会随着妊娠期的发展而降低。
产后的子宫
猫的子宫复旧约需要24天。整个子宫复旧过程中,子宫壁的厚度下降及腔内的液体量逐渐减少,子宫也越来越不可见(图9)。

正常的骨骼肌肉系统和浅表软组织超声影像
公猫
公猫生殖系统疾病并不常见。
单睾是基因异常所致,在猫较为罕见,易与单侧隐睾混淆。
隐睾指一侧或两侧睾丸没有从腹腔沉降至阴囊内。雄性幼猫出生时的睾丸位于腹腔内,出生数天后,睾丸开始向腹腔外移动。在6~8周龄时睾丸可到达阴囊,在6月龄时腹股沟环部分闭锁,是为防止睾丸的异常移动。
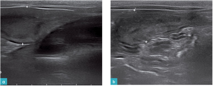
隐睾可为单侧位于腹腔内或双侧均位于腹腔内。隐睾可在肾脏尾极至腹股沟之间的任一位置,腹股沟管或腹股沟管浅环与阴囊之间的皮下某处。公猫隐睾发病率约为1.70%,单侧隐睾几率高于双侧,波斯猫的发病几率也高于其他品种。隐睾并发症包括隐睾癌变、双侧隐睾患猫不育及睾丸扭转。未见猫精索扭转的病例报道,睾丸肿瘤也十分罕见。虽然隐睾患猫的睾丸不能产生精子,但是仍能产生睾酮。
超声检查的可以定位隐睾,依次从肾脏尾极至阴囊处进行扫查。通过睾丸纵膈等睾丸的特征性结构来寻找睾丸,这种方法也有失败的可能,特别是在睾丸发生癌变的时候(图10)。

咬伤或其他类型的贯穿伤,都会导致会阴部和阴囊处的皮肤损伤。以上任何原因引起的睾丸鞘膜炎都会继发出睾丸炎。去势后该区域也会出现炎症反应。猫传染性腹膜炎(FIP)可波及到睾丸周围区域并造成睾丸鞘膜炎。
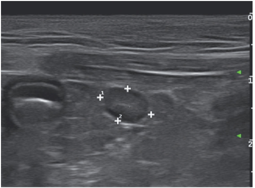
公猫前列腺疾病不常见,可见一些前列腺肿瘤或非肿瘤病变(前列腺周囊肿、前列腺增生、细菌性前列腺炎及前列腺化生)的相关报道。猫前列腺肿瘤中最为常见的是前列腺癌和前列腺腺瘤,少数可见前列腺纤维腺瘤、浸润性前列腺腺癌以及前列腺双相肿瘤。前列腺双相肿瘤在超声图像上表现为直径2cm左右,边界清晰的球形团块,回声强度及质地不均,具有移动性,可向结肠背侧移动,造成占位性压迫。
前列腺肿瘤导致公猫尿路及肠道阻塞的病例较为少见。但也需要鉴别前列腺肿瘤,尿道阻塞及便秘。
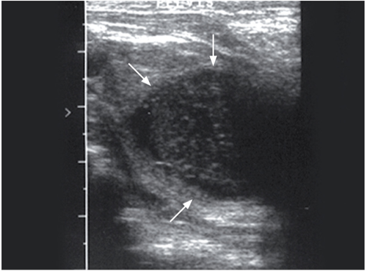
一只七岁未去势暹罗猫患有细菌性前列腺炎并发膀胱炎。超声影像上可见其前列腺位于膀胱尾侧,为一直径3cm的卵圆形团块样结构,内部低回声,外部轮廓回声较高(图11)。

猫尿道球腺在尿道造口手术中起着定位作用。尿道球腺炎常与前列腺炎同时发生,膀胱炎和尿道炎也可波及到这两个腺体。猫原发性阴茎,包皮病变极其罕见。然而,尿道阴茎部部可能会受到下泌尿道疾病的影响,例如尿石症导致的尿路阻塞。插导尿管所导致的局部出血、水肿等可通过超声影像进行评估。
下一篇:暂无



