猫生殖系统的超声扫查技术
在扫查生殖器官前需要剃掉腹壁的毛及涂抹超声耦合剂。
在扫查睾丸,未孕子宫,卵巢等浅表器官时,需要使用中频(5-7MHz)微凸探头或高频(7.5-10MHz)线性探头。
正常生殖系统超声影像
正常公猫的生殖系统包括:两个睾丸、两个附睾、两条输精管、前列腺、尿道球腺(库柏氏腺)、尿道以及阴茎。阴囊位于肛门和包皮之间,有两个囊腔,每个囊腔内都有一个睾丸和附睾及精索的末端。公猫的前列腺位于后腹部,靠近骨盆的入口。前列腺位于尿道的起始部及输精管的末端。尿道球腺在尿道的两侧。阴茎尖端(龟头)上覆盖有大约120-159个倒刺。这些倒刺在十二周龄时出现,青春期时得以完全发育。倒刺会在公猫去势后的第6周自然消失。91%以上的公猫具有阴茎骨,阴茎骨为3mm长、1.5mm宽的长圆形骨质组织(图1)。

母猫的生殖系统类似于狗。由2个卵巢和输卵管,子宫(子宫角,子宫体,子宫颈),阴道和外阴组成(图1)。
公猫生殖系统的超声检查
公猫生殖系统的超声扫查不如公犬的扫查常见,其数据图像较为少见,难以建立正常标准数据库。睾丸的回声细致均匀,睾丸白膜为一高回声薄的边界样结构。睾丸纵膈在矢状面上为中心高回声亮线,在横截面上为中心高回声亮点(图2)。

猫附睾的回声略低于睾丸的回声,且质地更为致密。猫的附睾体积明显小于犬的附睾体积,因此在超声上也较难看到。
公猫有两个副性腺:前列腺和尿道球腺。前列腺由两部分构成:前列腺体部(前列腺外腺)位于骨盆尿道段头侧的周围;前列腺弥散部位于尿道粘结石(图3)。

母猫生殖系统的超声检香
母猫的生殖系统较难用超声评估,未妊娠的健康子宫通常在超声上是不可见的,除非使用高频探头。母猫卵巢的影像数据较少。正常输卵管结构微小,超声影像不可见。对于阴道的评估需要将探头置于会阴部进行扫查。
雌性生殖系统可按从尾侧到头侧的顺序进行扫查,从位于后腹部,膀胱和降结肠之间的子宫体开始扫查。跟踪子宫角向头侧行走可见卵巢。或者在两侧肾脏尾极的后方直接寻找卵巢。
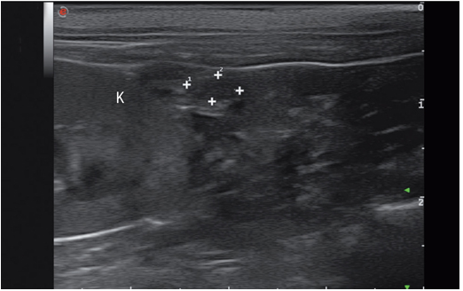
卵巢位于肾脏尾极的外侧,为一圆形或椭圆形的结构,长度小于1cm(图4)。其影像表现与当时所处发情周期有关。使用高频探头可以对无回声的亚毫米级的原始卵泡进行评估(图5),它们通常位于卵巢的外缘(卵巢皮质层含有卵泡,而卵巢髓质内含有血管和神经)。

子宫在超声影像上表现为一管腔样结构,子宫体位于膀胱和结肠之间,子宫角位于后腹部的背外侧。近期研究表明,由于母猫的子宫颈缺乏局:部增厚,子宫体缺乏靶样外观,所以不如其他物种容易看到子宫。可见子宫矢状面上外围有一明显的高回声光晕(浆膜层),矢状面上的光晕会比横截面上更加明显。有些母猫的子宫在超声影像上可以区分出两层结构。正常的子宫腔内是不含有任何液体的,但能在子宫内看到一条:高回声亮线,该高回声亮线为子宫内膜的回声(图6)。


处于间情期、发情期以及产后两个月的健康母猫,其子宫的直径没有明显区别(平均值分别为0.39cm、0.56cm和0.46cm)。



