正常肾脏和输尿管超声影像
肾脏位于腹腔的背侧,位于腹膜后脊柱,主动脉(AO)以及尾部腔静脉(CVC)的两侧。每个肾脏(解剖定位)都有前侧和尾侧极点,外侧和内侧边缘,背侧和腹侧表面(前者比后者更凸起)。肾门位于肾脏的内侧缘中部,由肾门伸入肾实质的凹陷处称为肾卖。血管(肾动脉和肾静脉),淋巴管和神经都位于肾门,神经与肾静脉靠得非常近。
肾脏相对比较大,外观明显容易辨认,具有特征性的外观,其具有沿着表面朝向肾门收敛的囊状静脉(星状静脉)。猫的肾脏嵌入在丰富的脂肪组织中,特别是肥胖的猫。
猫的右肾位于肝脏尾叶部位的肾窝位置。右侧肾上腺,后腔静脉,腹壁侧面边界都是右肾的解剖学参照物。因为猫的肾脏有很大的移动性,而且做肾脏超生检查时猫的肝脏有时也不是很明显。左肾位于胃底的尾部和脾脏前部内侧。左侧的肾上腺以及主动脉是左肾的参照物。同时降结肠是左肾腹侧的参照物。侧面的边界就是腹壁(图2)。

肝脏和脾脏的解剖学关系,使得我们可以把肾脏回声和邻近的器官相比较。肾皮质通常对肝脏是等回声或低回声的,对脾脏是低回声的(图3)。

超声波清楚地区分了低回声的肾髓质和皮质的回声波,由于肥胖猫的皮质的脂肪浸润,所以其回声会增强。在健康猫中,由于近端小管的脂肪增加(以液泡的形式),尤其是公猫,所以肾皮质回声会增加。
髓质边缘呈现高回声线,即使在健康猫(没有症状提示存在肾脏疾病)中也可能观察
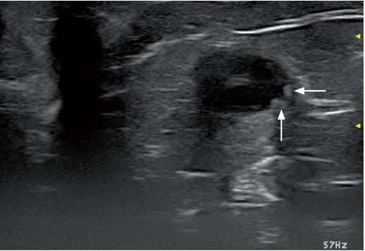
骨盆凹陷将髓腔分隔,其旁运行小叶间血管。由于肾盂上存在脂肪以及纤维组织,所以肾盂呈现高回声带,并偶尔会出现声影,宽度约为1-2 mm。肾顶部是肾髓质的延伸,并连接着肾盂。肾顶部被肾窦所围绕,而肾窦含有脂肪组织,因此为高回声带,且这一特点在肥胖的猫尤其显著。。使用高频探头可以在肾门处看到肾静脉,但是由于动脉太小很难观察到动脉。肾被膜在肾脏的最外围的区域显示为高回声线 (图4.视频 1)。健康动物的肾脏是没有液体围绕的。

超声检查肾脏通常包含初略测量肾脏大小,并且把2个肾脏互相作为参照。通常猫肾脏大小范围是 在3.8 -4.4 cm ,且2个肾脏之间单独差异不大。一项比较了不同品种猫肾脏大小的调查证实了如上发现,此外还观察到左侧肾脏髓质比较厚,且皮质延髓的比值比右侧肾脏要低。
肾脏的长度受到年龄,体重,性别的影响(雄性,特别是绝育的公猫,肾脏更大),这也意味着不但猫个体有差异,同时体型小的品种(波斯,金吉拉,新加坡猫)和体型大的品种(缅因猫)也有差异(表 1)。同时肾脏长度也和实际体积相关。

在人医中,肾脏大小的变化,皮质增厚,皮质延髓的比率通常提示了不同的情况。患有慢性肾病(CKD)的病人,在衡量肾小球滤过率上更具有提示作用是皮质增厚这一指标,而不是肾脏长度。
考虑到肾脏内的血管因素,据估计健康波斯猫的收缩加速低于标准RI2 m/s2.标准值是0.52 ± 0.07.近期的研究发现了每个肾脏血管指数的偏差值,右肾的R|值 0.54 ± 0.07.左肾的RI 值是0.59 ± 0.08 。
关于输尿管,沿着腹中腰肌走向,盆腔中端平面1-2cm 的侧面,靠近AO 和 CVC(见图.2); 输尿管穿过腹侧面的旋髂深血管和A0 及CVC 的终末分支。在骨盆的水平线上,输尿管沿阔韧带/或生殖器延伸一直到达膀胱三角区。膀胱和输尿管突起在同一水平线上。输尿管突起影像中可以看到是膀胱壁上的一个小团块。输尿管的喷射可以观察到反射波漩涡的图像,这个影像位于膀胱三角区至膀胱内腔的区域(图5.视频2)。健康猫输尿管的管腔直径是0.4 mm并且通过超声波很难观察到。有-点很重要:尿液是通过蠕动和收缩来流动的,因此只有当输尿管扩张的时候才能通过超声波观察。

下一篇:暂无



