肾脏和输尿管的超声扫查技术
与超声检查其他器官一样,首先需要剪掉动物腹部的毛发。剃毛的区域包括从剑状突起到盆骨的区域以及两侧的肋弓区域。为了让超声探头和皮肤充分接触,首先要湿润和清洁皮肤,然后涂抹大量的超声耦合剂。检查动物时,动物可以腹背位仰卧,也可以侧卧(左右侧卧都可)。通常采用让动物感觉舒服的体位。
猫的肾脏比犬的肾脏要更接近球形,且更容易滑动。为了得到质量高的肾脏影像,这需要调整超声探头所施加的压力。中频凸阵探头(7.5-9 MHz)可以显示基本的影像,但是高频的线性探头(10-14 MHZ)可以提供更高分辨率和细节的影像。

猫的肾脏位于肋骨的尾部,对于右边的肾脏通常从肋间难以探查得到。如需获取纵向视图,则需把探头按照平行于动物的长轴方向进行从外侧向内侧的扫描。如需获取横向视图,则需把探头垂直于脊柱并沿颅骨向尾椎部的方向扫描。对于右侧肾脏的探查,需要在动物的右侧从尾部往肝脏位置,从背部到腹部进行完整的扫描。同时,对于左侧肾脏的探查,可以通过在胃和脾脏尾部进行探查。建超左右肾脏都需要至少扫描2个正交平面。
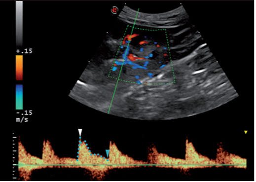
一项脉冲多普勒关于肾脏血管形成的研究显示,弓状动脉或小叶间动脉具有代表性,其足以显示肾脏的大致情况。同样地,可以使用彩色多普勒在皮质延髓交界处定位弓状动脉。在启动测量卡尺后,通过一个1-2mm大小的抽样窗口,集中在动脉上记录几个流动波形(至少3个)并取得平均值。
猫对于探头的振动很敏感,探头甚至会激怒它,但是通常来说猫会很快习惯这种探头的震动。因此为了获得质量好的视图,用其测量收缩压,舒张压和平均速度计算阻力指数(RI)和搏动指数(PI)需要很大的耐心。

总体来说,超声波设备已经包含自动计算这些指数的程序,包括最大收缩压,最小舒张压和平均速度(图1)。另外,早期收缩加速度(ESA)这一指数被定义为评估多普勒波形的变化。
血管指数可间接测量肾脏高血压以及对血管阻力进行预估。阻力指数(RI) 和搏动指数(PI)计算公式是: RI=(收缩期峰值流速-舒张末期血流速度)/收缩期峰值流速; PI=(收缩期峰值流速-舒张末期血流速度)/时间平均流速。



