猫肾上腺疾病超声影像
肿瘤
猫肾上腺肿瘤较为罕见(占所有肿瘤的0.2%)。根据它们的起源,分为皮质(肾上腺皮质腺瘤或肾上腺皮质癌)或髓质肿瘤(嗜铬细胞瘤)。皮质肿瘤进一步分为功能性肿瘤和无功能性肿瘤,功能性肿瘤会产生过多的醛固酮、皮质醇和性激素(可单独产生或混合产生),而无功能性肿瘤则没有分泌激素的功能。
原发性高醛固酮血症
猫的原发性高醛固酮血症(家族性甲状旁腺增生或康氏症候群)常常影响老年患猫,与品种或性别的相关性不高。最常见的临床表现为是由低钾血症引起的肌肉无力,颈部向腹侧弯曲,四肢僵硬,吞咽困难,沉郁和嗜睡。
除此之外,还可观察到因系统性高血压造成的视网膜脱落和眼内出血,最终导致失明。
系统性高血压还会导致心肌肥厚和肾脏损伤。
肾上腺腺瘤或肾上腺癌多为单侧发生,也有双侧发生的报道。
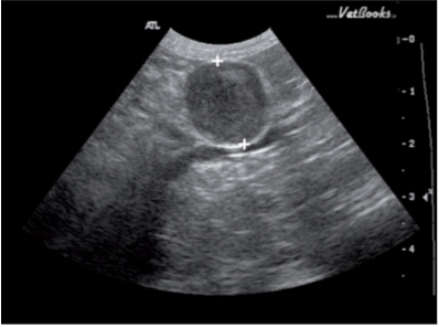
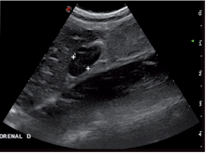
肾上腺肿瘤的超声表象包括肿块,钙化和异常回声(图4)。需要注意的是,增大的肾上腺或肾上腺肿块并不意味着它会分泌过多的醛固酮。这些肾上腺上的肿瘤但不引起临床症状的称为偶发瘤。功能性肿瘤会分泌如皮质醇,孕激素等激素,嗜铬细胞瘤也属于功能性肿瘤。

最近的一项研究将肾上腺肿块回声分成三种模式:不均匀的高回声,均匀的低回声和中心高回声外周低回声(靶征)。研究试图仅通过回声模式去区分肿瘤的良性恶性,不去评价血管浸润,对侧肾上腺的大小,形状及回声情况。结果表明,仅以超声模式去区分肿瘤的良性恶性是不可行的。有两例通过超声检查发现一侧肾上腺肿块的病例中,尸检时却发现它实际患有双侧肾上腺癌。所以作者认为双侧肾上腺肿瘤的真实患病率可能有被低估。在其他尸检确诊双侧肾上腺增生的病例中,却没有发现超声变化。说明正常超声表现的肾上腺也不能排除良性或恶性肿瘤浸润的可能性。
嗜铬细胞瘤在猫中是非常罕见的,文献中只报道过4例。临床症状都是由于过量的儿茶酚胺引起的。
肾上腺肿瘤会引发FPA及高孕酮血症。文献报道称,功能性肾上腺肿瘤会分泌过量的性激素(孕酮或其他如雌二醇、睾酮、雄烯二酮、17一羟孕酮),进而造成疾病。然而,在肾上腺肿瘤分泌超过一种以上的性激素实为罕见。
猫的肾上腺肿瘤不太会引起血栓。除非由肿瘤压迫后腔静脉及淋巴管,引起血栓,可以产生类似布加综合征的症状。
一只肾上腺皮质癌的雄性患猫同时发生有肥大性骨病。肾上腺切除后,骨膜反应从栅栏样外观(肥大性骨病特有症状)转变为薄层状外观。

肾上腺皮质机能亢进
猫的肾上腺皮质功能亢进(猫的库兴氏综合征)是由肾上腺分泌过多的皮质醇引起的。其最常见的原因是垂体腺瘤,它使得促肾上腺皮质激素细胞增生和肾上腺分泌过多的皮质醇。肾上腺皮质腺瘤或肾上腺癌会造成肾上腺皮质功能亢进。大约20%的患有自发性肾上腺皮质功能亢进的猫发生有功能性肾上腺肿瘤。
垂体依赖性肾上腺皮质功能亢进易发生于中老年的猫。80%的病例会伴发糖尿病。超声可见双侧肾上腺增大(垂体依赖性肾上腺皮质功能亢进)或肾上腺上存在肿块。单侧肾上腺肿瘤产生过多的皮质醇,会导致对侧肾上腺萎缩。

甲状腺功能亢进
甲状腺功能亢进的患猫的肾上腺比同年龄健康猫的偏大,且在实质中有数量更多的强回声光点。上述研究的作者发现,评价肾上腺功能亢进的患猫时,同时存在甲状腺功能亢进。在患有肢端肥大症的猫身上也可观察到类似的情况,它们的肾上腺厚度比对照组厚得多。
下一篇:暂无



