猫肾上腺的超声扫查方法
猫的肾上腺需要通过组合体位来进行扫查。检查时在腹中部和腹侧壁剃毛。需要使用中频(5-7.5Mhz)或高频(10-18Mhz)超声探头。
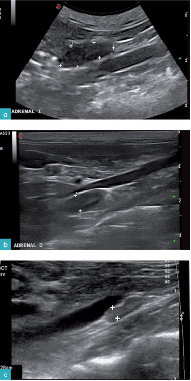
使用右侧卧位和仰卧位结合检查左侧肾上腺。先找到左肾的头极,然后向内侧移动,找到左肾动脉与腹主动脉的平面。

左侧肾上腺位于肠系膜前动脉根部的后方(图1a)。左侧膈腹腔静脉位于左肾上腺的腹侧。
检查右侧肾上腺,采用仰卧位结合侧卧位,探头放置在肋弓下。以后腔静脉作为解剖参照物,右侧肾上腺位于右肾的头侧,后腔静脉的背外侧。在很多情况下,膈腹部静脉位用于定位右侧肾上腺。
猫的肾上腺通常和身体的矢状面有轻微的交叉,尾极更靠中线,头极较尾极更靠外侧。因此,如果在身体的矢状面上观察肾上腺,它会呈椭圆形;如果在肾上腺自身的矢状面上观察,腺体则呈双叶状。(图2.视频1-3)

肾上腺由起源于主动脉的动脉(腹腔动脉、肾动脉、膈腹部动脉、腰动脉) 供应血液。通过膈腹部静脉引流静脉血。
正常肾上腺超声影像
猫的肾上腺是边界清晰,低回声的双叶形结构,外围由高回声的脂肪包裹。一些动物的肾上腺实质呈现两种不同回声,中心高回声,外周区域低回声。目前尚不清楚高低回声的两个区域是否是与皮质髓质分界有关。猫的肾上腺是中心呈低回声,外周呈高回声。
两侧肾上腺通常大小和形状都差不多,呈椭圆形或者豆状。
一些猫的肾上腺内部可以看到高回声伴声影区域。30%健康猫的肾上腺内可以观察到钙化灶。有些人在健康猫单侧或双侧的肾上腺上发现高回声但无声影区域,有可能是因为此处的钙化灶未产生声影,脂肪沉积或局部的血肿(图.3.视频4)。

在几篇关于猫的肾上腺大小参考范围的文章。一些研究声称超声测量会比真实数值大约低估2毫米。最近的一项研究,比较了不同猫肾上腺的起声测量方法,认为在矢状面或横截面上测量肾上腺的高度会比在横截面上测量长度或宽度更加接近真实值。
列出不同作者提供的健康猫的肾上腺的参考值。测量对象的体重、体表面积、体况、性别、品种有所不同,但得到的测量值并没有明显的差异。但是年龄的增长对这些腺体的长度有轻微的影响,年纪越大的动物,腺体的长度越短。



